设为首页 加入收藏 预约就诊电话:0470-3906219

今天是:

0470-3906221(咨询)

0470-3906203(投诉)

周一至周五:上午 8:00-12:00 下午 14:30-17:30 (节假日另行安排)

周六至周日:上午 8:00-12:00 下午 14:30-17:30 (节假日另行安排)

院内新闻

    新闻动态

    • 院内新闻

    • 媒体关注

    • 公告信息

    二维码

    儿童微创骨折手术,保儿童健康,助快乐童年 首页 - 新闻动态 - 院内新闻

    儿童微创骨折手术,保儿童健康,助快乐童年

    发表时间:2022年6月1日  作者:中蒙医院

            随着我市天气转暖,小朋友们的室外活动量增加,受伤情况也随之增加。近日,我院连续开展2例儿童微创骨折手术,有效地减轻了骨折儿童的痛苦,减轻了广大家长朋友们由于孩子受伤带来的焦虑。

    图片                     

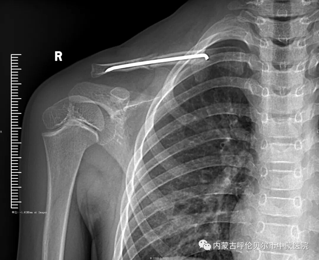
            儿童1,来我院就诊前三天在家玩耍时摔伤。当时左侧肩部着地致左侧肩部疼痛、肿胀、活动受限,在家人陪同下于当地诊所捏骨治疗,但症状未见好转,遂来我院就诊,以"左侧锁骨骨折"收住院。

    图片

    图片

             儿童2,来我院就诊前十二天摔伤,当时右侧肩部着地致右侧肩部疼痛、肿胀、活动受限,在当地行手法复位后静养,症状未见好转,遂来我院就诊,以"右侧锁骨骨折"收住院。

    图片

    图片

           上述两名儿童入院后,我院骨伤科医疗团队制定和完善诊疗方案,充分进行讨论后,决定行微创手术。该项手术可以做到“零切开”,无明显瘢痕,对儿童皮肤表面无影响,不影响未来骨质发育。术后可立刻改善肩部疼痛不适症状,一个月后可取出内固定装置。该项手术可将感染几率大幅降低,早期促进儿童骨质愈合,不影响未来生长发育。

            每个孩子都是家里的天使,值此六一国际儿童节之际,希望每个孩子都能健康成长,拥有一个快乐的童年。

    文/图:骨伤科 李鹏

    编辑:宣传科 回音

    审核:党办 王哲学

    相关推荐